近日,二附院科研中心实验室在自身免疫病(类风湿性关节炎)的发病机制研究中取得新进展。研究成果以Protective role for collectin-11 in rheumatoid arthritis in mice”为题在线发表在Arthritis & Rheumatology杂志上。该杂志是美国风湿病学会会刊,风湿病领域经典权威期刊,主要接收发表与风湿病相关的高质量基础和临床研究论文,注重文章的创新性。西安交通大学为该文第一和通讯作者单位,王娜助理研究员为第一作者,李可教授为最后通讯作者。
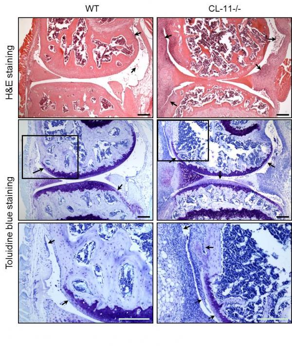
类风湿关节炎(Rheumatoid Arthritis,RA)是一种慢性系统性自身免疫性疾病,病情严重时可导致关节畸形及功能永久性丧失。由于RA发病机制尚不完全清楚,临床治疗仍有不少亟待解决的问题,如传统抗炎、抗风湿药物仅能延缓病程,不良反应及并发症较多,而针对免疫细胞及各种炎症因子的生物制剂费用昂贵且只对部分患者疗效显著, 因此有必要进一步认识RA的病理机制,找出新的治疗策略以改善当前治疗方案。胶原凝集素11(Collectin-11, CL-11)为可溶性C型凝集素,广泛表达于实质细胞(高表达于肾脏、肝脏以及肾上腺),是一种具有多种潜在功能的模式识别分子,同时还具有免疫调节特性。在本研究中,课题组使用CL-11基因敲除小鼠以及胶原诱导的小鼠类风湿关节炎(CIA)动物模型,发现CL-11在胶原诱导小鼠关节炎过程中发挥重要的保护作用(图1)。

图1
机制研究进一步发现,CL-11可能通过影响抗原递呈细胞(如树突状细胞)的活性状态及其抗原递呈功能,降低小鼠体内抗原特异性免疫应答的发生,减少致病性抗II型胶原IgG2a生成,从而降低CIA小鼠骨关节组织炎症反应及病理损伤(图2);此外,对CIA小鼠给予外源性重组CL-11可降低小鼠关节病变的严重程度(图2),同时临床标本分析显示RA患者血清CL-11水平低于健康对照组,并与临床DAS28评分、血沉及C反应蛋白水平负相关(图3),提示本研究可能具有潜在的临床应用价值。


图2


图3
上述工作得到了我校青年拔尖人才项目、医学部国家级后备人选支持计划以及交大“研究生短期出国(境)访学”计划资助,同时得到了学校及国际著名实验室多个课题组,如口腔医院李昂教授课题组、基础医学院张保军教授课题组等的大力协作。近年来,二附院李可教授团队围绕补体系统在免疫相关性疾病中的作用开展相关研究,先后在J Am Soc Nephrol,Kidney Int,JCI Insight,Arterioscler Thromb Vasc Biol等国际著名期刊杂志上发表多篇代表性论文。
论文链接:https://onlinelibrary.wiley.com/doi/abs/10.1002/art.41696